우주는 무한히 많은 가스, 먼지, 그리고 그것들이 뭉친 돌덩어리와 가스덩어리로 구성되어 있으며, 지구상의 생명체과 같은 말랑말랑한 물질은 찾지 못했다. 인체는 지구상의 어느 생물보다 부드러운 물질로 이뤄져 있지만, 신진대사 과정에서 다양한 화학작용으로 인해 단단히 결정화되는 경우가 많다. 흔히 글 앞뒤에 석(石)자가 붙고는 한다. 개인적으로도 신장에 녹각석(사슴뿔 모양의 결석)을 지니고 있고, 몇 년 전 임플란트 한 개를 심는 과정에서 잇몸염증의 원인이 치석임을 알게 되면서 누구보다 몸 속의 돌에 대한 관심을 가져왔다.
이전 글 <미세먼지로 인해 얇아지는, 대뇌피질>에서는 아밀로이드 베타 단백질이 알츠하이머병의 원인 중의 하나이며, 이 단백질이 뉴런 사이에서 아밀로이드 플라크를 형성한다고 했다고 언급했었다. 딱 봐도 인체 내에 생긴 고체결정들은 그 주변부위의 본래의 작용을 방해할 것이라는 예상이 든다. 특정 부위에 쌓이는 물질의 얇은 층을 플라크(plaque)라고 부르는데, 여기서는 인체 곳곳에서 생기는 플라크들에 대해서 알아보자.
처음에는 죽처럼 시작된는, 죽상판
죽상판(atheromatous plaque)은 동맥내막에 콜레스테롤(LDL) 등이 굳어 국소적으로 딱딱해진 섬유성 판(반점)를 말하는데, 죽상판이 쌓여 동맥이 좁아지면서 죽상경화증(atherosclerosis, 동맥경화)이 생기게 된다. 죽상경화증은 혈류를 방해하여 뇌졸중 및 뇌경색, 심근경색 등의 위험을 증가시킨다. 죽(粥)은 걸쭉한 상태를 의미하는데, 초기에 동맥내막에 죽종(atheroma, 지방·세포의 덩어리)이 생기면서 혈관협착이 시작된다. 죽종·죽상판은 혈액공급이 감소되는 허혈의 원인이 되기도 하는데, 죽종과 죽상판이 파열되는 순간 혈소판·백혈구의 응집으로 혈액응고가 일어나 혈전을 만들기 때문이다. 혈전이 혈관을 막게 되면 심각한 심뇌혈관 질환들이 발생한다.

혀로도 느낌이 오는, 치태
사람의 구강 내에는 무수히 많은 세균이 살고 있다. 구강 내 세균들은 치아 표면에 붙은 작은 음식물의 얇고 끈적한 당단백질에 달라붙게 되는데, 이러한 세균군·세균의 대사물질 등으로 형성된 얇고 투명한 막을 치태(dental plaque, 치면세균막)라고 한다. 이전 글 <필름을 깨부수고 독소를 감당해야 하는, 디톡스>에서는 장 속의 기생충과 세균이 서로 들러붙어 미생물군을 형성하고 있는데, 이러한 미생물들의 복합체를 바이오필름(biofilm)이라고 한다고 했다. 장 속의 바이오필름도 얇은 막을 형성하고 있다는 점에서 플라크와 유사하다고 볼 수 있다.
세균(특히 스트렙토코쿠스 뮤탄스)이 설탕을 이용하여 에너지를 생성할 때 부산물로 산(acid)이 생기는데, 이 산이 치아의 무기물(수산화인회석)을 부식시키면서 충치(치아우식증)을 일으킨다. 치태는 물로 헹구는 정도로는 제거할 수 없고, 최소한 양치를 해야 한다. 양치로도 제거되지 않은 치태는 침 속의 칼슘과 결합하여 돌처럼 단단해진 치석(tartar)이 되는데, 치석의 거친 표면은 세균들의 집단서식지가 되면서 잇몸염증을 일으키게 된다.
한번 형성된 치석은 양치로도 제거가 어려우며, 물리적 충격을 가하는 스케일링(scaling)을 통해 떼어내어야 한다. 치태와 치석은 충치, 치주염 및 치주질환 등의 원인이 될 수 있는데, 치아가 불규칙할수록 치태와 치석에 노출될 위험이 더 높다. 불규칙한 치아나 치아 사이의 큰 틈은 음식찌꺼기와 세균의 축적이 용이하기 때문이다. 치태와 치석은 잇몸질환을 넘어서 심장병, 당뇨병, 뇌졸중 등 심각한 건강문제로 연결될 수 있기 때문에, 식후 양치·치실와 정기적인 스케일링을 반드시 받아야 한다.
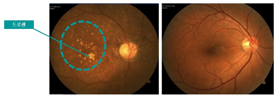
시력 약화의 원인일 수 있는, 드루젠
이전 글 <빛을 모으지만 과하면 바래지는, 눈>에서는 황반(망막 중심부)에 빛의 초점이 맺히며, 대부분의 시세포가 밀집해 있다고 언급했었다. 황반변성을 일으키는 대표적인 위험인자로 노화와 과도한 자외선 노출을 지적했었는데, 또 다른 위험인자로 눈 안에서 생성되는 드루젠(drusen)이 있다.
황반의 시세포가 빛자극을 받아 화학반응을 일으키면 전기를 생성되는데, 이 전기신호가 뇌로 가서 눈이 빛을 볼 수 있게 한다. 맥락막의 모세혈관은 시세포의 화학반응을 위한 에너지를 공급해주는데, 매우 활발한 대사로 시간당 혈류가 가장 많은 혈관이다. 많은 혈액(산소·영양소)를 필요로 하는 만큼 노폐물도 많이 발생하는데, 망막색소상피가 여기서 발생한 노폐물을 제거하는 역할을 한다. 노화로 인해 망막색소상피의 청소기능이 저하되면서, 망막색소상피의 기저부 인근에 노란색의 플라크인 드루젠이 쌓인다.

아연은 알츠하이머병의 발병에 있어서 뇌 속 플라크를 형성하는 인자로 알려져 있는데, 드루젠은 고농도 아연을 함유하고 있다. 아연이 뇌·눈에서의 플라크 형성에 기여한다고 추측해 볼 수 있다. 황반의 드루젠은 크기와 개수, 색소변화 등에 따라 진행 정도를 구분한다. 건성황반변성은 드루젠이 쌓이는 초기의 황반변성으로, 드루젠으로 인해 황반에 있는 시세포가 느린 속도로 파괴되어 중심부 시력이 서서히 감소된다. 습성황반변성은 황반에 안 좋은 혈관들이 새로 만들어지면서 급격한 시력저하가 발생하게 된다.
플라크와는 조금 다른, 석회화
석회화(calcification)는 세포·조직에 인산칼슘·탄산칼슘 등의 칼슘염(calcium salt)이 침착하는 것으로, 칼슘염 침착 부위에 따라 크게 2가지로 구분된다. 괴사조직 내에 침착되는 것을 이영양성석회화(dystrophic), 살아있는 조직에 침착되는 것을 전이성석회화(metastatic)이라 한다. 칼슘은 뼈·치아를 형성하는 필수 무기질이지만, 병리적 석회화는 자연스런 노화현상으로 다양한 질병을 일으키기도 한다. 병리적 석회화가 발생하는 대표적인 부위로는 동맥·전립선·신장·유방, 관절(연골 내지 인대), 부갑상선, 피부 등이 있다.
동맥에서 죽상판이 형성되고 동맥경화가 진행되면, 어느 시점에 이르러 석회화가 되기 시작한다. 보통은 노화가 진행되면서 천천히 석회화가 일어나지만, 고혈당·고혈압·이상지질혈증 등에 따라 그 속도가 빨라질 수 있다. 많은 성인남성들이 겪고 있는 전립선 석회화는 다양한 원인으로 발생할 수 있지만, 주로 나이가 들면서 자연적으로 생기는 현상이다. 개인적으로도 이미 30대 중반부터 건강검진 결과표에서 전립선 석회화은 빠지지 않고 있다. 전립선 내의 세포들이 노화·염증·세포손상 등으로 죽으면, 이 세포들의 사체가 특정 염과 결합하면서 미세한 결절을 형성한다. 이 결절들은 시간이 지나면서 더 단단해져 석회화되는 것이다.
석회화와는 또 다른, 결석
결석(calculus)은 체내에서 물질들이 뭉쳐서 작은 돌모양을 이루는 현상을 말하는데, 결석이 발생하는 대표적인 부위로 신장·담낭·방광이 있다. 간에서 생산되는 담즙은 3가지 성분(콜레스테롤·지방산·담즙산염)이 일정한 비율을 유지하고 있는데, 이 성분비율이 변하면서 노폐물이 생긴다. 이 노폐물이 굳으면 담석(gallstone)이 된다. 담즙에 콜레스테롤이 많게 되면 시간이 지나면서 결정화되고, 이 결정은 담낭의 수축력 부족으로 인해 바깥의 장으로 배출되지 못하게 담낭에 남게 된다.
신장결석을 형성하는 주된 물질은 칼슘·요산(uric acid)·스트루바이트(struvite)·시스틴이 있다. 칼슘결석은 주로 수산칼슘(calcium oxalate)·인산칼슘이고, 세균감염에 의해서 스트루바이트가 만들어지기도 한다. 유전적 요인에 의해 시스틴이 과도하게 누적되기도 하는데, 시스틴(cystine)은 2개의 시스테인(cysteine)이 황결합을 통해 결합한 것을 말한다. 결석은 수분섭취 부족과 유전적 요인, 대사작용 이상, 특정음식 섭취와 연관될 수 있다. 특히 음식과 관련하여 구연산·섬유소 섭취를 늘리되, 수산(oxalic acid, 옥살산)이 함유된 음식(시금치·아몬드·땅콩·초콜릿 등)과 육류·염분을 적게 섭취해야 한다. 물은 하루 2L 이상 충분히 마셔 주는 것이 좋다.
주말에 청소를 담당하는 가장으로서, 아무리 깨끗한 환경을 유지하여도 집 안에 쌓이는 먼지는 막을 수 없다는 것을 잘 알고 있다. 마찬가지로 우리가 아무리 건강에 신경을 쓴다한들, 인체 내의 먼지라고 할 수 있는 플라크와 칼슘염 등의 쌓여가는 것을 막을 수는 없을 것이다. 보통 이틀에 한번씩은 취침 전에 치실을 하는데, 매번 치실에 묻어 나오는 하얀색의 치태를 보면서 놀라곤 한다. 치실이 생활화되지 않았던 시절에는 차곡차곡 쌓인 치태가 당연히 치석이 되었던 것인데, 당시에는 그것을 이해 못했었다. 지금 이 시간에도 치아 뿐만 아니라 혈관과 눈 등에서는 단단한 무언가가 생겨나고 있을 것이고, 이것이 미래에 우리의 건강을 위협할지도 모른다. 지금부터라도 알고는 맞이하자.
'건강' 카테고리의 다른 글
| [건강] 산소와 같은듯 다른, 활성산소 (1) | 2023.08.23 |
|---|---|
| [음식] 수난 겪는 마법가루, 대체당 (0) | 2023.07.07 |
| [건강] 풍요의 산물, 비만치료제 (3) | 2023.06.09 |
| [건강] 독소를 감당해야 하는, 디톡스 (2) | 2023.05.25 |
| [건강] 어디서든 독소를 뿜는, 곰팡이 (3) | 2023.04.29 |
댓글